酸枣新品种早红1号的选育

黄素芳,张康壮,孙文元*,曹平平,赵忠祥,孙晓月

(沧州市农林科学院,河北沧州 061001)

摘 要:早红1号酸枣新品种是从河北省邢台市内丘县野生酸枣林中经过丰产性、优质性、抗逆性等性状综合评价实生选种培育的新品种。果实扁圆形,果较小,果面光滑,果顶凹,果皮浅红色。果肉绿白色,汁液少,质地疏松,风味酸甜。平均单果质量1.28 g,最大单果质量3.20 g。果实可食率68.33%,果核较大,扁圆形,含仁率92.40%,出仁率为9.72%。酸枣仁主要有效成分含量较高,酸枣仁总皂苷含量(w,后同)为0.087%,斯皮诺素含量为0.097%。果实生育期95 d,在河北沧州(经度116.83° E,纬度38.33° N)9月下旬成熟;花蕾呈扁五棱形。抗裂果病和枣锈病,裂果病平均发病率为2.75%,锈病病情指数为4.04。适宜仁用。适合河北平原枣区及其他酸枣适生区栽培。当年开花结果,丰产性强,每666.7 m2平均产量为978.56 kg,比对照品种尹棘5号酸枣增产14.33%。

关键词:酸枣;新品种;早红1号

酸枣(Ziziphus spinosa Hu)是我国重要的野生果树之一,其营养成分丰富,药用价值高[1-2]。主要分布在华北、西北等地,河北是药用酸枣主产区和最大集散地[3],酸枣产业不断发展壮大,但酸枣的蕴藏量不能满足市场需求[2-3],主要原因在于酸枣多呈散生状态,没有形成规模化生产。药用型酸枣品种缺乏,配套栽培技术落后,产量和效益低下[3-4]。因此,选育优良的药专用型酸枣品种,研发推广矮化、密植、早丰产新技术,对酸枣进行标准化、轻简化栽培。尤其是利用华北地区现有的小枣生产园,通过高接换头技术进行规模化栽培,可以加快推进规模化药专用型酸枣原料生产基地的建立[5-6]。综上,选育药专用型酸枣新品种(品系)及配套的平原地区高效栽培技术的研发具有广阔的应用前景。

1 品种来源

早红1号(图1)酸枣品种是从河北省邢台市内丘县野生酸枣林中经过丰产性、优质性、抗逆性等性状综合评价选育而成的。早红1号优树位于邢台市内丘县獐獏乡石关村,母树树龄在30 a(年)以上,胸径15.2 cm,树高4.1 m,冠径3.8~4.8 m,为纯野生资源,与当地其他酸枣相比,果实中等大小,较整齐,自然结果较多,含仁率高。

图1 酸枣新品种早红1号
Fig. 1 A new jujube cultivar Zaohong No.1

2 选育经过

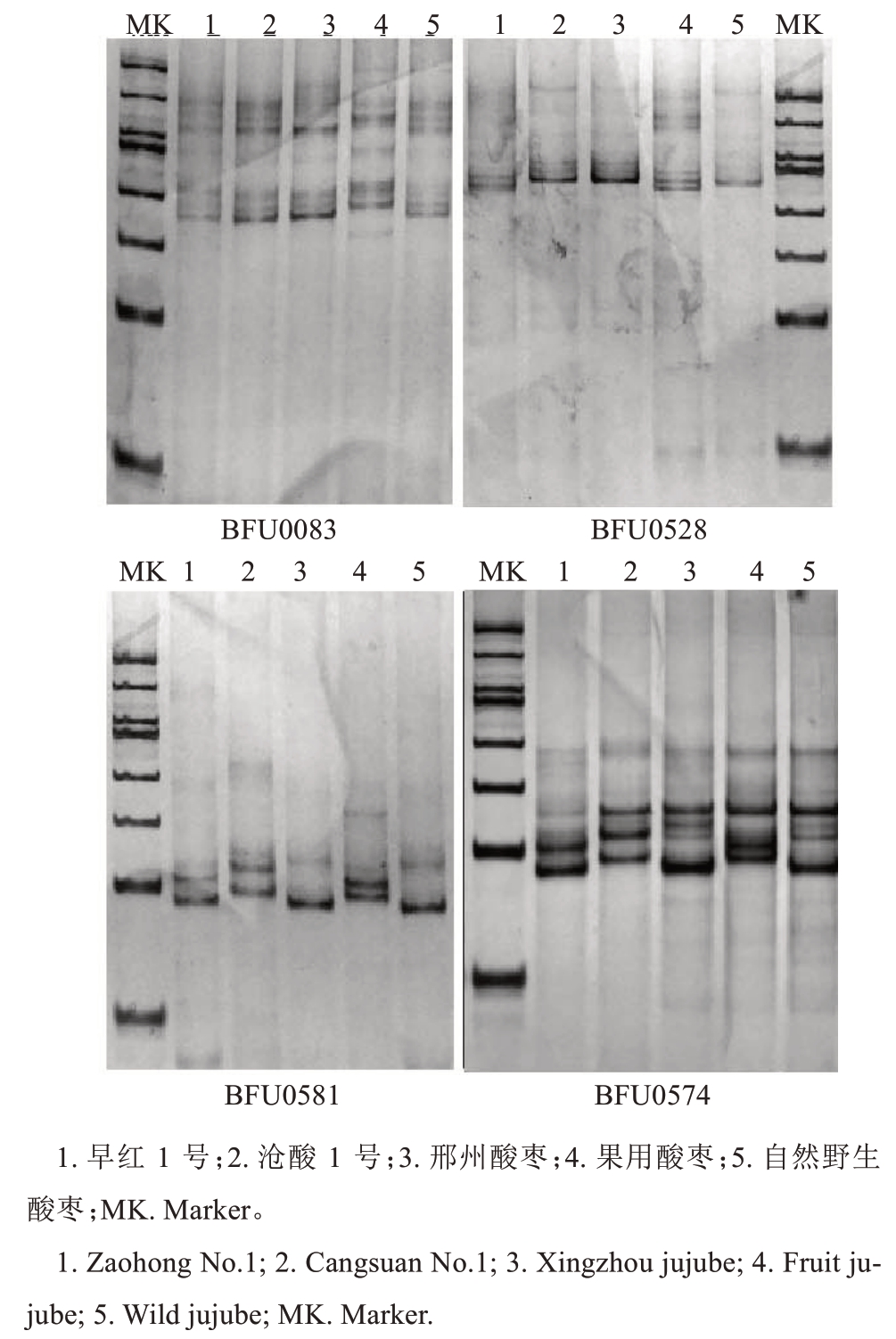
课题组制定选优标准,通过查找资料、群众报优、实地调查等相结合的方法,对酸枣种质资源进行调查选优。2013年10月确定早红1号母树为初选优株。2014年在金丝小枣树上进行了高接换头试验并繁殖培育,观察其遗传稳定性。2015—2017连续三年从母树上采集接穗,分别在金丝小枣园和酸枣直播园进行嫁接栽培,并对生物学特性和产量进行观测分析,结果表明,嫁接植株的生物学性状和生产指标较对照均表现突出。2020—2022连续三年,笔者在沧州市献县、青县、西花园试验站分别进行了早红1号品种适应性试验。经河北省林木种质资源与森林保护重点实验室新品种DNA鉴定,结果表明早红1号与对照样品DNA存在差异(图2)。2024年2月,该品种通过河北省农业农村厅种子总站的认定,其编号为冀认药(2024)001。

图2 DNA鉴定结果
Fig. 2 DNA test results

3 主要性状

3.1 生物学特性

早红1号平均树高1.58 m、冠幅1.6 m×2.3 m;干直立性好;二次枝(结果枝)呈之字形弯曲延伸;皮紫褐色;针刺发达、较长,平均长21.3 mm;叶披针形,锐尖,边缘锯齿形;花蕾扁五棱形。

3.2 物候期

在河北省沧州市地区,早红1号的萌芽期为4月中旬,花期为4月下旬,幼果期为6月中旬,果实生长期为7月中旬,果实成熟期为9月下旬,落叶期为11月中旬。

3.3 丰产性

2020—2022连续3 a,早红1号在沧州市献县、青县、西花园试验站进行了品种区域性试验。试验采用随机区组排列,3次重复。对照品种为尹棘5号酸枣,对照区平行栽培。

早红1号嫁接当年即可结果,第4年进入盛果期,稳产、丰产性好,无明显大小年现象。2020—2022年3 a区域试验结果表明(表1),2020年,早红1号每666.7 m2平均产量为677.10 kg,比对照品种增产16.02%;2021年,早红1号每666.7 m2平均产量为1 161.89 kg,比对照品种增产14.78%;2022年,早红1号酸枣每666.7 m2平均产量为1 096.68 kg,比对照品种增产12.85%。

表1 不同酸枣品种每666.7 m2产量
Table 1 Yield per 666.7m2of different ziziphus jujube cultivar kg

注:HGHR. 高接换头;DSOC. 直播建园。下同。
Note:HGHR. High grafting and head replacement; DSOC. Direct seeding orchard construction. The same below.

?

3.4 果实性状

早红1号果实扁圆形,果较小,果面光滑,果顶凹,果皮浅红色。果肉绿白色,汁液少,质地疏松,风味酸甜。早红1号平均单果质量1.28 g,比对照尹棘5号提高61.55%;果实可食率68.33%,比对照降低4.76%;果核较大,扁圆形,含仁率92.40%,比对照提高36.55%;出仁率为9.72%,比对照提高34.94%。早红1号适宜仁用,酸枣仁主要有效成分含量较高,总皂苷含量(w,后同)为0.087%,比对照提高7.22%;斯皮诺素含量为0.097%,比对照提高9.66%(表2)。

表2 不同酸枣品种果实性状
Table 2 Fruit characters of different ziziphus jujube cultivar

年份Year试验地点Experimental site建园方式Way品种Cultivar 2020献县Xianxian HGHR果实性状Fruit characters单果质量Average fruit mass/g 1.43可食率Edible rate/%70.03早红1号Zaohong No. 1尹棘5号Yinji No. 5早红1号Zaohong No. 1尹棘5号Yinji No. 5早红1号Zaohong No. 1尹棘5号Yinji No. 5早红1号Zaohong No. 1尹棘5号Yinji No. 5早红1号Zaohong No. 1尹棘5号Yinji No. 5早红1号Zaohong No. 1尹棘5号Yinji No. 5早红1号Zaohong No. 1尹棘5号Yinji No. 5早红1号Zaohong No. 1尹棘5号Yinji No. 5早红1号Zaohong No. 1尹棘5号Yinji No. 5早红1号Zaohong No. 1尹棘5号Yinji No. 5早红1号Zaohong No. 1尹棘5号Yinji No. 5早红1号Zaohong No. 1尹棘5号Yinji No. 5核性状Nuclear characters含仁率Kernel content/%94.30出仁率Kernel rate/%9.42仁药效成分Kernel active ingredient w(总皂苷)Total saponins content/(mg·g-1)0.09 w(斯皮诺素)Spinosin content/(mg·g-1)0.103 0.8474.8070.677.650.090.092 DSOC 1.4168.6492.419.240.090.101 0.8272.5668.557.420.080.089青县Qingxian HGHR 1.2870.2995.3210.140.090.098 0.7575.0773.947.420.080.087西花园Xihuayuan DSOC 1.3767.3479.199.620.080.094 0.8171.9159.357.820.080.084 2021献县Xianxian HGHR 1.2268.5496.599.920.090.097 0.9272.5772.017.420.080.091 DSOC 1.1866.4889.489.630.090.094 0.8970.3969.857.210.080.088青县Qingxian HGHR 1.0868.7996.7311.620.090.092 0.8272.8572.167.200.080.086西花园Xihuayuan DSOC 1.1765.9086.999.140.080.088 0.8869.7760.487.590.080.083 2022献县Xianxian HGHR 1.3769.6196.569.070.090.102 0.7371.4169.486.750.080.093 DSOC 1.3367.5297.598.800.090.099 0.7169.2767.396.540.080.090青县Qingxian HGHR 1.2269.8796.6110.800.080.097 0.6571.6869.796.550.080.088西花园Xihuayuan DSOC 1.3266.9387.089.270.080.093 0.7068.6658.356.890.080.085

3.5 抗病性

2020—2022连续3 a区试结果表明(表3),早红1号裂果病平均发病率为2.75%,比对照尹棘5号降低了17.80%;锈病病情指数为4.04,比对照降低了13.52;早红1号抗裂果病和锈病的能力较强。

表3 不同酸枣品种裂果病和锈病发病情况
Table 3 Incidence of fruit cracking disease in different Ziziphus jujube cultivar

试验地点Experimental site建园方式Way献县Xianxian青县Qingxian西花园Xihuayuan HGHR DSOC HGHR早红1号Zaohong No.1 2020年In 2020裂果率Fruit cracking rate/%2.61 2.56 2.48锈病病情指数Disease index of rust 4.73 4.64 4.49 2021年In 2021裂果率Fruit cracking rate/%2.90 2.81 2.76锈病病情指数Disease index of rust 3.60 3.49 3.42 2022年In 2022裂果率Fruit cracking rate/%3.10 3.01 2.95锈病病情指数Disease index of rust 4.30 4.17 4.09尹棘5号Yinji No. 5 2020年In 2020裂果率Fruit cracking rate/%19.60 19.01 18.62锈病病情指数Disease index of rust 17.10 16.59 16.25 2021年In 2021裂果率Fruit cracking rate/%21.30 20.66 20.24锈病病情指数Disease index of rust 19.20 18.62 18.24 2022年In 2022裂果率Fruit cracking rate/%23.50 22.80 22.33锈病病情指数Disease index of rust 18.70 18.14 17.77 DSOC 2.384.302.643.282.823.9117.8415.5619.3817.4721.3917.02

4 繁殖方式

早红1号宜采用嫁接繁殖的方法,于4月中下旬采用切腹或劈接的方法进行嫁接。

5 栽培技术要点

5.1 建园技术

5.1.1 直接栽植抗性苗木建园 春季萌芽前,选取1~2年生、基径1.0 cm以上、无病虫害和机械损伤、根系完整、生长健壮的嫁接苗栽植。栽植后及时修剪,将顶部以下的2个二次枝剪去,促进其主芽萌发,并剪去折断的、受伤的二次枝。高度超过1.5 m的苗木,将1.5 m以上部分剪除。

5.1.2 采用高接换头方法建园 在4月中下旬开始进行高接,粗的主枝采用插皮接,砧粗2 cm及其以上的用2~3个接穗,2 cm以下的1个接穗。下部l cm以下的枝条可用粗的枣头接穗,进行腹接或劈接。每株大树可用接穗10~15个。

5.2 整形修剪

主要树形为开心形、小冠疏层形。

5.3 肥水管理措施

冬季前每666.7 m2沟施有机肥或农家肥2500~4000 kg、过磷酸钙50~100 kg、硫酸钾三元素复合肥30~40 kg作为基肥,浇透封冻水。坐果期和果实膨大期,结合灌溉追施水溶性氮肥和钾肥,每株成龄树施用0.3%的氮磷钾均衡水溶性肥10~15 kg。

5.4 病虫害防治

冬季及旱春时深翻树盘刮除老树皮并进行树干涂白,剪除病虫枝、枯死枝、损伤枝,拣拾虫茧、虫蛹,清扫枣园内枯枝落叶,集中烧毁,消灭越冬的病残体。萌芽前10 d,在树体和树干周围附近土壤上喷洒5°Bé石硫合剂,可有效杀死枣红蜘蛛、枣龟蜡蚧、枣大球蚧、枣叶壁虱等越冬卵,降低虫口密度;4月中旬喷施3%啶虫脒乳油2000倍液或2.5%高效氯氰菊酯乳油2500倍液防治绿盲蝽;7月上旬喷施50%多菌灵可湿性粉剂800倍液或50%代森锰锌可湿性粉剂1000倍液防治枣锈病;7月中旬喷施1%阿维菌素乳油5000倍液与30%蛾螨灵乳油2000倍液防治红蜘蛛与枣瘿蚊。

参考文献References:

[1] 杨雷,周俊义,陈海江. 酸枣资源研究进展及利用前景[M] //郗荣庭,刘孟军. 干果研究进展(3). 北京:中国农业科学技术出版社,2003.YANG Lei,ZHOU Junyi,CHEN Haijiang. Research Advance and utilization prospect of Acid Jujube (Ziziphus acidojujuba C.Y. Cheng et M.J. Liu)[M] //XI Rongting,LIU Mengjun. Research Progress on nut (Ⅲ). Beijing:China Agricultural Science and Technology Press,2003.

[2] 张海旺,陈光辉,刘丽娜,申逸男,李思琪,张文臣. 酸枣新品种‘长丰’的选育[J] . 北方园艺,2024(3):157-160.ZHANG Haiwang,CHEN Guanghui,LIU Lina,SHEN Yinan,LI Siqi,ZHANG Wenchen. Breeding of a new jujube variety‘Changfeng’[J] . Northern Horticulture,2024(3):157-160.

[3] 黄素芳,孙文元,孙一,李俊英,赵忠祥,赵花其,曹平平,薛文.11个野生酸枣资源在河北平原地区引种评价研究[J] . 林业与生态科学,2021,36(4):428-433.HUANG Sufang,SUN Wenyuan,SUN Yi,LI Junying,ZHAO Zhongxiang,ZHAO Huaqi,CAO Pingping,XUE Wen. Evaluation research on the introduction of 11 wild jujube resources in Hebei Plain[J] . Forestry and Ecological Sciences,2021,36(4):428-433.

[4] 黄素芳,孙文元,孙一,李俊英,赵忠祥,赵花其,曹平平,薛文. 几个野生酸枣资源主要果实性状研究[J] . 天津农业科学,2021,27(5):33-35.HUANG Sufang,SUN Wenyuan,SUN Yi,LI Junying,ZHAO Zhongxiang,ZHAO Huaqi,CAO Pingping,XUE Wen. Study on main fruit characters of several wild jujube resources[J] .Tianjin Agricultural Sciences,2021,27(5):33-35.

[5] 孙文元,滕霄,卢相义,冯珺珩,陈超. 食药兼用型酸枣新品种尹棘1号的选育[J] . 中国果树,2024(5):151-152.SUN Wenyuan,TENG Xiao,LU Xiangyi,FENG Junheng,CHEN Chao. Breeding of a new Ziziphus acidojujuba cultivar‘Yinji 1’ for both food and medicine[J] . China Fruits,2024(5):151-152.

[6] 及华,王琳,张海新,李运朝,李洪涛. 酸枣优质高产栽培技术[J] . 现代农村科技,2020(9):52-53.JI Hua,WANG Lin,ZHANG Haixin,LI Yunzhao,LI Hongtao.High quality and high yield cultivation techniques of jujube[J] .Modern Rural Science and Technology,2020(9):52-53.

[7] 孙文元,李俊英. 平原区药用酸枣高效栽培技术[J] . 现代农村科技,2020(4):45-47.SUN Wenyuan,LI Junying. High efficient cultivation techniques of medicinal jujube in plain area[J] . Modern Rural Science and Technology,2020(4):45-47.

[8] 胡运彩,耿新杰,武红霞. 邢台市酸枣优良品种栽培管理技术[J] . 河北果树,2018(5):45-46.HU Yuncai,GENG Xinjie,WU Hongxia. Xingtai city jujube varieties cultivation and management technology[J] . Hebei Fruits,2018(5):45-46.

[9] 孙文元,孙一,李俊英. 药用酸枣平原区直播建园宽窄行密植栽培技术[J] . 现代农村科技,2021(2):45-46.SUN Wenyuan,SUN Yi,LI Junying. Wide-narrow row and close planting cultivation technology of direct seeding garden in plain area of medicinal wild jujube[J] . Modern Rural Science and Technology,2021(2):45-46.

Breeding report of a new sour jujube cultivar Zaohong No. 1

HUANG Sufang, ZHANG Kangzhuang, SUN Wenyuan*, CAO Pingping, ZHAO Zhongxiang, SUN Xiaoyue

(Cangzhou Academy of Agriculture and Forestry Science, Cangzhou 061001, Hebei, China)

Abstract:Zaohong No. 1, a new sour jujube cultivar, was bred from a wild jujube population located in Neiqiu County, Xingtai City. This variety was selected through a comprehensive evaluation of traits such as high yield, superior quality, and stress resistance. Based on the selection criteria of strong stress resistance, high quality, and high yield performance of jujube fruit, the primary selection, re-selection and final selection processes were conducted through thorough information gathering and reporting to the masses. In October 2013, the primary-selection superior plants of the most prominent excellent types were identified. Between 2020 and 2022, adaptability tests for these varieties were conducted over three consecutive years at three locations:Xianxian County, Qingxian County, and the West Garden of Yunhe District in Cangzhou City, Hebei Province. The findings from these tests were ultimately submitted for examination in 2023. The average height of wild jujube trees is 1.58 m, with a crown width of 1.6 m × 2.3 m. The trunk is erect, and the secondary branch, which bears fruit, is curved and extended in a zigzag pattern. The bark is purple-brown, and the needles are elongated and well-developed, averaging 21.3 mm in length. The leaves are lanceolate with sharp and serrated margins. The fruit is oblate, small, and smooth, featuring a concave top and a light red peel, and the average fruit weight is 1.28 g, while the maximum weight of a single fruit could reach up to 3.20 g. Its flesh is a combination of green and white, characterized by a lower juice content, a loose texture, and a sour-sweet flavor. The edible rate of Zaohong No. 1 is 68.33%. The fruit stone is large and oblate, with a shell content of 92.40% and a kernel rate of 9.72%. The levels of the main effective components in Semen Ziziphi Spinosae were notably high, with total saponins measuring at 0.087% and spinosin at 0.097%. The fruit growth period for this variety lasts 95 days, culminating in maturation in late September in Cangzhou City, Hebei Province (longitude 116.83° E, and latitude 38.33° N). The flower buds exhibit an oblate pentagonal shape. This variety is resistant to jujube fruit-cracking (JFC) and jujube rust. The average incidence of JFC was 2.75%, and the disease index of jujube rust is 4.04. This variety is suitable for pharmaceutical use. Zaohong No. 1 is well-suited for cultivation in the Hebei plain jujube area, as well as in other regions conducive to jujube growth. It blooms and produces fruit in the same year, demonstrating high productivity. The average yield per 666.7 m2 is 978.56 kg, which represents a 14.33% increase compared to the control variety Yinji No. 5 jujube. The orchard can be established by directly planting resistant seedlings and employing high grafting and head-replacement techniques. The primary tree shapes include an open center system and a small canopy sparse layer system. Before winter, it is advisable to apply base fertilizer and irrigate before soil freezes. Water-soluble nitrogen and potassium fertilizers should be applied at the fruit setting and fruit expansion stages. It is important to promptly remove wintering disease residues and to effectively prevent and control pests such as green bugs, red spiders,jujube gall midges, and jujube turtle wax scales.

Key words:Sour jujube; New cultivar; Zaohong No. 1

中图分类号:S665.1

文献标志码:A

文章编号:1009-9980(2025)12-3057-06

DOI:10.13925/j.cnki.gsxb.20240600

收稿日期:2025-02-08

接受日期:2025-06-24

基金项目:河北省重点研发计划现代种业科技专项(19226358D);河北省重点研发计划后补助项目(18923619H)

作者简介:黄素芳,女,研究员,硕士,研究方向为枣新品种选育及高效栽培。E-mail:43111924@qq.com

*通信作者Author for correspondence. E-mail:Sunwenyuan@126.com