黑核桃新品种BH06的选育

王俊武1,徐思圆2#,宋锋惠2,虎海防2*

1新疆维吾尔自治区林业重点工程质量管理总站,乌鲁木齐 830099;2新疆维吾尔自治区林业科学院,乌鲁木齐 830062)

摘 要:BH06黑核桃是从新疆黑核桃中选育出的新品种。该品种树干通直、生长量大、顶端优势明显、分枝角度小。果实中等、呈扁圆形,2年生枝中基部有隐芽,果面粗糙,有明显的棱状突起,较大,均匀整齐。平均单果质量16.43 g、横径36.12 mm、纵径32.71 mm、侧径28.05 mm、壳厚2.58 mm、仁质量4.72 g、出仁率28.76%。BH06黑核桃6年生同胞家系子代的平均树高、胸径生长量分别为4.87 m、8.31 cm,明显优于普通黑核桃子代苗。在新疆阿克苏地区,9月下旬果实成熟。以中果枝(5~15 cm)结果为主,腋花芽结果能力强(1个果序结1个果为主),雌雄同株异花。抗旱性、抗盐碱性、抗风沙能力及抗寒性均较强。天山北坡、伊犁河谷和塔里木盆地平原绿洲区农田防护林及城镇园林绿地均可推广应用。

关键词:黑核桃;新品种;BH06

黑核桃(Juglans nigra)原产于美国,也称美国东部黑核桃,隶属核桃科核桃属温带落叶阔叶树种,为落叶大乔木,树皮深裂,呈暗褐色,树高可超过30 m[1]。中国于1984年开始引种黑核桃,并在新疆、河南、山西等地进行了育种和栽培。黑核桃气候适应性强,对土壤要求不严,具有抗旱、抗寒及耐盐碱性等特点,是绿化树木和农田防护林的优良树种,也是世界上公认的最佳硬阔材树种之一,被认为是经济价值最高的林果兼用树[2-4]

1 选育过程

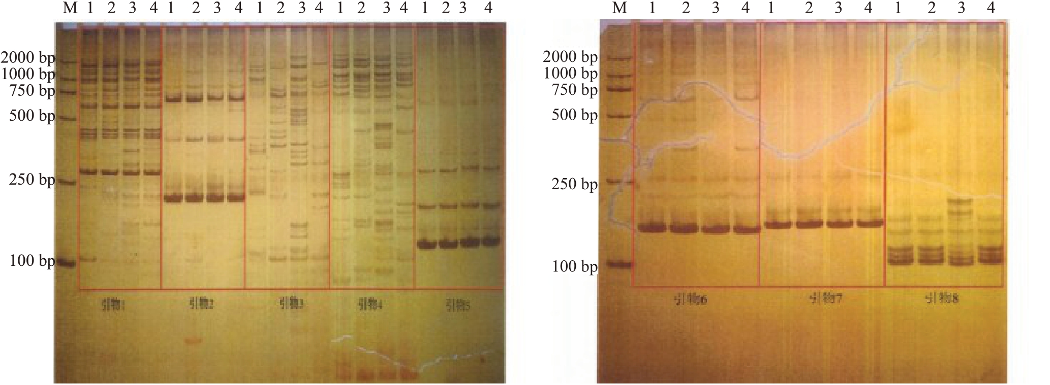
1993年,新疆维吾尔自治区林业科学院首次从美国内布拉斯加州引进东部黑核桃种子。在新疆维吾尔自治区林业科学院苗圃进行育苗、定植,第4年开花结实,生长适应性良好,自产种子成功播种育苗,完成了引种适应性周期。2001 年,从河南省洛宁县国家级黑核桃良种繁育示范基地引进4个美国东部黑核桃品系1年生嫁接苗,分别定植在南疆(新疆林科院佳木试验站)和北疆(新疆林科院玛纳斯试验站),表现出良好的示范效果。接穗为美国内布拉斯加州的东部黑核桃(Juglans nigra L.),砧木为河南当地核桃,其半同胞子代苗在新疆天山北坡、伊犁河谷和塔里木盆地平原绿洲区农田防护林及城镇园林绿地等30余个县市开展了造林试验,均表现出良好的生长适应性。BH06 黑核桃是从新疆黑核桃已审定良种的家系苗中选育出用于营造农田防护林或城市绿化的优良品种,具有树干通直、生长量大、顶端优势明显、分枝角度小、果型大的特点。同时,利用8 对多态性较好的SSR 引物,分别进行SSR 分子标记鉴定。结果表明,4份黑核桃材料为4个独立性的品系(聚丙烯酰胺凝胶电泳结果如图1 所示)。2024 年通过了新疆维吾尔自治区林木新品种审认定委员会认定,编号为新R-SS0-JN-005-2024。

图1 不同品种黑核桃SSR 引物标记电泳图
Fig.1 Electrophoresis patterns of SSR primer markers for different varieties of black walnut

M.DL2000 DNA Marker;1.黑核桃BH06;2.黑核桃BH07;3.黑核桃BH08;4.对照普通黑核桃。从左到右依次为引物1~8。
M. DL2000 DNA Marker; 1:Black walnut BH06; 2:Black walnut BH07; 3:Black walnut BH08; 4. Control-common black walnut. From left to right are primers 1 to 8 in sequence.

1.1 环塔盆地—阿克苏市

2016 年,采集BH06 黑核桃优良单株种子(父本:其他黑核桃品系),在新疆林科院佳木试验站培育自由授粉半同胞子代苗播种苗。2017 年,选用1年生优质壮苗,在阿克苏市拜什吐克曼镇托万克格西木艾日克村营建防护用材林0.2 hm2,造林株行距1.5 m×2.0 m,1 年生普通黑核桃作为对照。调查结果见表1。

表1 阿克苏市生长适应性调查统计
Table 1 Investigation and statistics of growth adaptability in Aksu city

注:树龄为6 年生,调查时间为2024 年7 月2 日。干梢情况,+.有;-.无。下同。
Note:Tree age are 6 years old,the survey time is July 2,2024.Dry tip condition,+.Have;-.No.The same below.

?

从表1 可以看出:BH06 黑核桃6 年生半同胞子代平均树高4.87 m、胸径生长量达到8.31 cm;普通黑核桃平均树高4.33 m、胸径生长量为7.62 cm,其中BH06黑核桃较普通黑核桃树高提高12.5%、胸径提高9.1%;BH06 黑核桃与普通黑核桃分枝角度平均值分别为29.0°、38.1°,越冬干梢率对照比BH06黑核桃高20百分点。

1.2 天山北坡—石河子市

2016 年,由新疆林科院提供BH06 黑核桃单株种子(父本:其他黑核桃品系),采用1 m×1 m×4 m宽窄行模式。在石河子市石河子镇五工村通过直播造林方式,造林1.33 hm2,保存率91%,普通黑核桃作为对照。调查结果见表2。

表2 石河子市生长适应性调查统计
Table 2 Investigation and statistics of growth adaptability in Shihezi city

?

从表2 可以看出,BH06 黑核桃6 年生半同胞家系子代的平均树高、胸径生长量分别达到5.87 m、8.43 cm;普通黑核桃的平均树高、胸径生长量分别为4.99 m、7.51 cm;BH06黑核桃与普通黑核桃分枝角度平均值分别为29.01°、38.32°;越冬干梢率BH06黑核桃比普通黑核桃低15百分点。

1.3 伊犁河谷—察布查尔锡伯自治县

2018 年,由新疆林科院提供BH06 黑核桃母树采收种子培育的一年生实生优质壮苗,定植株行距1.5 m×2.0 m,面积2 hm2,普通黑核桃作为对照,保存率95%。调查结果见表3。

表3 察布查尔锡伯自治县生长适应性调查统计
Table 3 Investigation and statistics of growth adaptability in Xibe Autonomous county of Qapqal

?

从表3可以看出,造林6年生BH06黑核桃平均树高5.80 m、平均胸径8.00 cm,分支角度29.03°;普通黑核桃平均树高4.90 m、平均胸径7.43 cm,分支角度38.31°;越冬干梢率BH06黑核桃比普通核桃低15百分点。

1.4 三个试点6年生苗适应性评价

从表4可以看出,3个试点采用植苗与直播两种造林方式,在生长方面均有一定差异。其中,石河子区试点为秋季直播造林,无缓苗期,故6 年生树高、胸径均比其他2个试点高,树高年均生长量0.98 m、胸径年均生长量1.41 cm;分枝角度上3个试点差异不大,表现出较好的稳定性;干梢率方面3个试点较一致。

表4 三个试点6 年生苗汇总
Table 4 Summary of 6-year seedlings in three pilot projects

?

2 主要性状

2.1 经济性状

BH06 黑核桃果实中等、呈扁圆形,2 年生枝中基部有隐芽,果面粗糙,有明显的棱状突起,较大,均匀整齐。平均单果质量16.43 g、横径36.12 mm、纵径32.71 mm、侧径28.05 mm、壳厚2.58 mm、仁质量4.72 g、出仁率28.76%、裂沟较深、缝合线较松、种壳为棕色、种仁为黄色。

2.2 植物学特征

BH06 黑核桃树干通直、生长量大、顶端优势明显、分枝角度小、大果型品质优良(图2)。叶为奇数羽状复叶,小叶15~21 枚,部分顶叶退化,小叶柄基部簇生茸毛,小叶对生,叶基部偏斜,叶缘有细锯齿,叶卵状披针形。该品种为雌雄同株异花,雄花在春季开始萌动,膨大,2~3 周后花序伸长到一定长度,按基部向顶部的顺序,小花依次分离开放,1周左右开始散粉;雌花可单生或2~5朵簇生,雌花蕾期花原始体形成,柱头突起,但未完全伸出,经3 d左右,雌花柱头伸出约0.3 cm,柱头较大且稍开张,2 d 后雌花柱头完全开张,表面呈羽状突起且分泌有大量粉液,具光泽。2年生枝中基部有隐芽。

图2 BH06 黑核桃树
Fig.2 BH06 black walnut tree

2.3 生物学特性

2.3.1 物候期 通过2020—2023 年连续4 a(年)的物候观察发现,BH06 黑核桃在阿克苏地区温宿县佳木镇,4 月19 日萌芽,4 月底见绿,5 月初抽梢展叶,7 月上旬封顶、坐果,9 月下旬果实成熟,10 月下旬落叶。树体能够正常生长、越冬。

2.3.2 抗逆性评价 多年多点观察测定表明:(1)抗旱性:属深根性树种,具有适应性强、耐干旱的特点,在新疆适宜种植条件下,灌水3次·a-1即可。(2)抗盐碱性、抗风沙能力强,可在pH值≤8.5的碱性土壤中正常生长。通过盆栽控盐试验,黑核桃幼苗耐盐阈值为0.48%。(3)抗寒性:各试点多年观察表现出较强的越冬性,休眠期可抗-35 ℃的绝对低温;该品种顶端优势强,即使顶芽出现受冻、干梢现象,其下方侧芽仍表现出极强的生长优势(图3)。

图3 BH06 黑核桃防护林带
Fig.3 BH06 black walnut shelterbelts

3 苗木繁育及栽培技术要点

3.1 定植时间、栽植密度与方式

应选择土层深厚(≥150 cm),排水良好,地下水位≥1.5 m,pH≤8.5的平地或缓坡地,粗沙、砾石层区需换客土栽种。年均气温≥6 ℃、极端最低气温≤35 ℃、最高气温38 ℃;具备灌溉条件且无霜期≥150 d。选择播种1~2年生(顶芽木质化、木质化根5条以上、地径0.8 cm壮苗)裸根苗造林。防护林:株行距1.5 m×2.0 m或1.0 m×1.5 m(图3)。

3.2 嫁接育苗

普通黑核桃作为砧木,BH06 黑核桃优良单株作为接穗,通过春季枝接或夏季芽接,可培育无性系嫁接苗,嫁接成活率可超过90%。嫁接后及时除萌、灌溉、施肥、除草松土,8月控水控肥,促进枝条木质化。

3.3 整形修剪

以培养主干明显的高大乔木为主。主要技术措施:种植前3年,及时剪除竞争枝;种植第4年后,剪除主干竞争枝及树干下部三分之一的侧枝。

3.4 水、肥、土管理

灌水:三水,展叶前一次、高生长速生前期一次,入冬前封冻水一次。施肥:依据树龄及土壤肥力,种植第2年开始,结合第一次灌水,施含磷钾为主黄腐酸肥一次,施量100~500 g·株-1。土壤:以pH值≤8.5的土壤条件下种植为宜。

3.5 病虫害防控

加强树体管理,采用科学配方施肥,使树体保持营养平衡。合理修剪、及时清除残留病果、病叶和病枝,并移出果园,集中销毁,减少来年病菌侵害。落叶后和发芽前喷施3~5°Bé 石硫合剂,铲除园内病原菌。生长季核桃枝可以选用以下药剂:25%吡唑醚菌酯悬浮剂2000 倍液等。每隔10~15 d 防治1次,连续2~3次,各种药剂交替使用。

4 综合评价

BH06 黑核桃品种,树干通直、生长量大、抗逆性强、顶端优势明显、分枝角度小、大果型,南北疆绿洲带多年区域栽培试验结果表明,其自由授粉半同胞子代苗抗寒、抗旱、耐盐碱,可作为农田防护用材林的种质资源推广应用。以普通黑核桃作为砧木,BH06黑核桃新品种作为接穗,培育无性系嫁接苗,可进一步提升造林质量。

参考文献References:

[1] 高本旺. 核桃种植新技术[M]. 武汉:湖北科学技术出版社,2011:142.GAO Benwang. New technologies for walnut cultivation [M].Wuhan:Hubei Science&Technology Press,2011:142.

[2] 宋锋惠,虎海防,史彦江,欧源,哈地尔·依沙克.新疆黑核桃引种栽培及推广应用[M].北京:中国林业出版社,2024:7-15.SONG Fenghui,HU Haifang,SHI Yanjiang,OU Yuan,Hadier·Yishake. Introduction, Cultivation and Promotion of Xinjiang Black Walnut in China [M]. Beijing:China Forestry Publishing House,2024:7-15.

[3] 王晓英.美国黑核桃的引种及其研究进展[J].陕西林业科技,2018,46(2):85-87.WANG Xiaoying. Introduction of Juglans nigra and related research progress[J]. Shaanxi Forest Science and Technology,2018,46(2):85-87.

[4] 陈兴振,王忠英,瞿晓群,赵秀琴,申国胜. 农林良种栽培技术[M].济南:山东大学出版社,2022:229.CHEN Xingzhen,WANG Zhongying,QU Xiaoqun,ZHAO Xiuqin,SHEN Guosheng. Agroforestry cultivation techniques [M].Jinan:Shandong University Press,2022:229.

Breeding report of a new black walnut variety BH06

WANG Junwu1,XU Siyuan2#,SONG Fenghui2,HU Haifang2*

(1Quality Management General Station of Key Forestry Projects in Xinjiang Uygur Autonomous Region,Urumqi 830099,Xinjiang,China;2Xinjiang Academy of Forestry Sciences,Urumqi 830062,Xinjiang,China)

Abstract:BH06 is a new variety of black walnut selected from the Xinjiang black walnut seedlings by natural hybridization among the eastern black walnuts from Nebraska, USA, which were originally introduced from Henan Province. In 1993, Xinjiang Academy of Forestry Sciences introduced eastern black walnut seeds from the U.S.for the first time,carried out seedling and planting,and completed the introductory acclimatization cycle by flowering and fruiting in the fourth year. In 2001, we introduced six one-year-old grafted seedlings of eastern black walnut cultivars on Persian walnut rootstocks from the National Black Walnut Breeding Demonstration Base in Henan Province, and planted them respectively in the southern Xinjiang Forestry Academy of Sciences(XFAS)Jia Mu Experimental Station and the northern Xinjiang Forestry Academy of Sciences Manas Experimental Station, showing good demonstration effects. In 2016, this species passed the variety certification by Xinjiang Forest Tree Variety Certification Committee and was named “ Xinjiang Black Walnut”.On the basis of this variety certification, BH06 black walnut was selected and bred as an excellent protective timber forest type.This variety has a straight central leader,vigorous growth,obvious apical dominance and small branching angle.The annual branches are brownish green,the biennial branches are light brown,and the triennial branches are brown.Leaves are odd pinnately compound,with leaflets 15-21,part of the terminal leaf degeneration,leaf margin serrulate,leaf ovate-lanceolate,and leaf color dark green.The fruit is fusiform,rough on the fruit surface,with obvious ribbed larger protrusions,larger,uniform and neat.The average single fruit mass is about 16.43 g,the transverse diameter is 36.12 mm,the longitudinal diameter is 32.71 mm,the lateral diameter is 28.05 mm,the shell thickness is 2.58 mm,and the kernel weight is 4.72 g.The average growth of 6-year-old tree height and diameter at breast height of the offspring of BH06 black walnut sibling families are 4.87 m and 8.31 cm, respectively, which are significantly better than those of common black walnut offspring seedlings.The fruit is medium, flat and round, with hidden buds at the base of the second-year branches. Kernel yield is 28.76 percent, with excellent quality. Fruit ripens in late September in Aksu area of Xinjiang; fruiting mainly takes place on medium fruiting branches (5-15 cm),and there is strong axillary bud fruiting ability(1 fruiting sequence bearing 1 fruit mainly),with monoecious and dioecious traits. Resistance to drought, salinity, wind and sand, and cold is high. The protection forest in agricultural area and urban garden green space in the north slope of Tianshan Mountain,Yili River Valley and Tarim Basin plain oasis can be popularized and applied.For planting on flat or gentle sloping land,soil conditions with a deep layer of soil(≥150 cm),good drainage,water table ≥1.5 m and pH ≤8.5 should be selected.pH ≤8.5 is preferred for planting under soil conditions.Planting spacing of 1.5×2.0 m or 1.0 m×1.5 m is suitable.Ordinary black walnuts can be used as rootstocks,the excellent scions from BH06 black walnut are collected,grafting or budding in spring or summer can cultivate asexual grafted seedlings,and grafting survival rate can reach up to 90%or more.In the first three years of planting,cut off the competing branches in time;after the fourth year of planting,cut off the competing branches on the main leader and the lower one-third of the lateral branches on it.

Key words:Black walnut;New cultivar;BH06

中图分类号:S664.1

文献标志码:A

文章编号:1009-9980(2025)10-2472-07

DOI:10.13925/j.cnki.gsxb.20250066

收稿日期2025-02-18

接受日期:2025-05-07

基金项目2024年自治区重点研发专项(2024B02017);2022年度南疆重点产业创新发展支撑计划项目(2022DB022);2024年中央引导地方科技发展专项资金项目(ZYYD2024CG02)

作者简介王俊武,男,高级工程师,研究方向为林果种质资源收集及林产品质量检验。E-mail:xsy999925@163.com;#为共同第一作者。

*通信作者 Author for correspondence.E-mail:huhaifang1109@sina.com