板栗新品种燕栗3号的选育

张馨方,范丽颖,张树航,李 颖,郭 燕,刘金雨,王广鹏*

(河北省农林科学院昌黎果树研究所,河北昌黎 066600)

摘 要:燕栗3号是从邢台市信都区(原邢台县)将军墓镇实生大树中选育出的高产板栗新品种。该品种树姿开张,坚果椭圆形,果皮红褐色,油亮,果面茸毛少,筋线不明显;果肉淡黄色,肉质细糯,口感香甜;平均单粒质量10.86 g,每总苞平均含坚果2.72 粒,出实率35.45%;水分含量(w,后同)46.7%,可溶性糖含量20.3%,淀粉含量47.8%,蛋白质含量4.94%。在河北省燕山地区9月中下旬成熟,树体丰产性强,盛果期平均产量4030 kg·hm-2,适宜在中国北方板栗栽培区的山地、丘陵种植。

关键词:板栗;新品种;燕栗3号

板栗(Castanea mollissima Bl.)原产于中国,是典型的生态经济型树种,广泛分布在中国26 个省(自治区、直辖市)[1-3],更是河北省的特色和优势干果树种,在山区生态建设和农民增收致富方面发挥重要作用[4-5]。优质、高产、抗性强是板栗品种选育工作中重要的参考指标[6-7]。近几年,中国科研工作者选育出了多个优异板栗新品种,如早熟品种白露香[4],早实丰产品种冀栗1号[8],具有特异性状的品种燕栗4号、怀奇、短花云丰[9-11]等。高产、优质、外观亮丽的板栗在市场上具有更高的商品价值。为此,笔者单位选育出了丰产优质的板栗新品种燕栗3号(图1),该品种丰产稳产,连年结果能力强,坚果呈红褐色、色泽油亮、果粒饱满均匀,且栗仁质地细糯,风味甘甜,兼具优良外观品质和甘甜软糯口感的特性,具有较好的推广应用前景。

图1 板栗新品种燕栗3 号
Fig.1 A new chestnut cultivar Yanli 3

1 选育经过

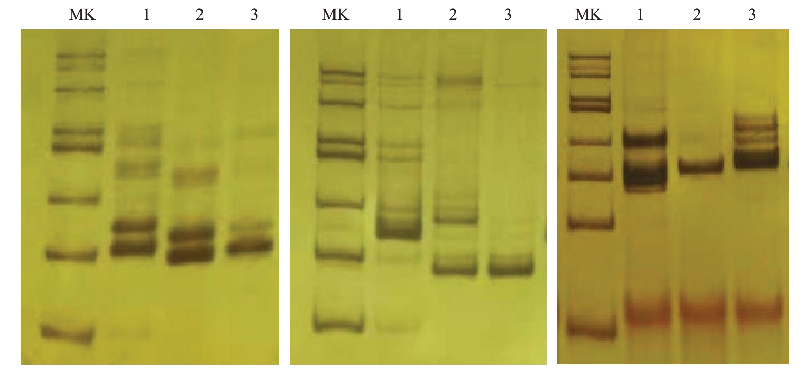
燕栗3号是河北省农林科学院昌黎果树研究所通过实生选种培育出的新品种,母树位于河北省信都区(原邢台县)将军墓镇。2001 年在板栗资源调查时发现该优株,树龄60 a(年)左右,具有优质、丰产、耐瘠薄等特性。在实地对其主要经济性状进行了调查鉴别后,定为初选优株,命名为XT-3,此后在原地又连续调查评价2 a。2004 年采集其接穗引入本单位品种选育圃进行复选工作,以板栗主栽品种(燕山短枝、京暑红)为对照[7],对由母株嫁接的无性系开展主要农艺性状的系统评价。2008年开始,陆续在河北省板栗主产区宽城县、兴隆县、迁西县等地进行了多点区域试验。通过SSR分子标记分析,明确燕栗3 号与对照品种在分子水平上存在差异(图2)。通过对其植物学特征、生长结果习性、坚果经济性状、丰产稳产性等方面的评价研究,证明了燕栗3号丰产稳产性强、品质优良、抗逆性强的农艺性状表现稳定。2023 年12 月获得国家林业和草原局植物新品种权证书(品种权号:20230660)。

图2 燕栗3 号与燕山短枝、京暑红的分子标记图谱
Fig.2 The SSR molecular markers map of Yanli 3,Yanshanduanzhi and Jingshuhong

1.燕栗3 号;2.燕山短枝;3.京暑红;SSR 标记引物分别为CsCAT19、CsCAT39、CsCAT41;MK.DNA Marker。
1.Yanli 3;2.Yanshanduanzhi;3.Jingshuhong;Primers of SSR marker are CsCAT19,CsCAT39,CsCAT41;MK.DNA marker.

2 主要性状

2.1 植物学特征

植株树体生长势强,树姿开张;结果母枝健壮,结果枝灰褐色,平均长度32.68 cm,皮孔扁圆形,密度中等,茸毛少;叶片深绿色,长椭圆形,叶尖急尖,叶基钝形,叶长14.78 cm,叶柄黄绿色,叶缘具锯齿,锯齿方向外向;雄花序长20.62 cm,每结果枝平均着生13.4条雄花序,小花簇密度低;球果椭球形,刺束密度大,刺长1.7 cm,成熟时十字裂或三裂,平均球果质量84.71 g。坚果椭球形,红褐色,筋线不明显,底座较小,接线呈波状,果肉淡黄色,涩皮易剥离。

2.2 生长结果习性

燕栗3 号幼树生长势强,早实性好,嫁接后2 a即可开花结果,3~4 a 进入丰产期;结果母枝芽萌发率73.8%,结果枝占比47.1%,发育枝占21.5%;1 年生枝条粗壮,平均长度32.68 cm,粗度0.81 cm,节间长度1.36 cm,易形成雌花,基部芽体也可抽生结果枝,翌年平均抽生结果新梢3.48条。由表1可知,燕栗3号成龄大树的树体高度、树冠面积及1年生枝条的长度、粗度均大于对照品种。

表1 燕栗3 号与对照品种(6 a)生长特性的比较
Table 1 Comparison of growth characteristics between Yanli 3 and control cultivars(6 a)

品种Cultivar燕栗3号Yanli 3燕山短枝Yanshanduanzhi京暑红Jingshuhong干周Trunk perimeter/cm 41.5 37.6 43.8树高Tree height/m 4.29 3.81 3.96树冠面积Crown size/m2 7.33 6.15 6.39 1年生枝One-year branch/cm长度Length 32.68 20.15 35.54粗度Width 0.81 0.74 0.69结果枝占比Bearing branch rate/%47.1 39.5 48.3

2.3 坚果经济性状

坚果椭球形,红褐色,色泽油亮,果面茸毛少,筋线不明显,底座较小,接线形状波状,整齐度高;平均单粒质量10.86 g;果肉淡黄色,涩皮易剥离,肉质细糯,口感香甜,水分含量(w,后同)46.7%,可溶性糖含量20.3%,淀粉含量47.8%,蛋白质含量4.94%(表2)。栗果外观亮丽,栗仁质地细糯香甜,炒食加工均可,商品性优。

表2 燕栗3 号与对照品种坚果品质特性的比较
Table 2 Comparison of nut quality characteristics between Yanli 3 and control cultivars

品种Cultivar燕栗3号Yanli 3燕山短枝Yanshanduanzhi京暑红Jingshuhong w(水分)Water content/%46.7 48.3 57.2 w(可溶性糖)Total sugar content/%20.3 23.1 20.4 w(淀粉)Starch content/%47.8 49.5 38.2 w(蛋白质)Protein content/%4.94 5.23 5.61

2.4 丰产稳产性

燕栗3 号结果母枝平均抽生结果枝3.48 条,每结果枝平均着生栗苞2.62 个,平均单苞内含坚果2.72 粒,出实率35.45%,坚果单粒质量10.86 g。丰产稳产性好,盛果期平均产量4030 kg·hm-2,没有大小年现象(表3)。

表3 燕栗3 号与对照品种丰产稳产性的比较
Table 3 Comparison of high and stable yield between Yanli 3 and control cultivars

品种Cultivar燕栗3号Yanli 3燕山短枝Yanshanduanzhi京暑红Jingshuhong每果枝刺苞数Amount of bur in one fruit branch 2.62平均苞质量Bur mass/g 84.71每刺苞坚果数Nut numbers per bur 2.72出实率Nut rate/%35.45单粒质量Nut mass/g 10.86单株产量Yield per plant/kg嫁接后第2年2nd year after grafting 0.69嫁接后第3年3rd year after grafting 1.45嫁接后第4年4th year after grafting 2.38平均产量Average yield/(kg·hm-2)4030 2.14 60.50 1.80 30.60 9.12 0.71 1.42 2.43 3958 2.43 40.20 2.10 41.20 8.20 1.03 1.41 2.62 4109

2.5 物候期

在河北省燕山地区,燕栗3号萌芽期4月15日,展叶期4月26日,雄花始花期6月1日,雌花始花期6 月6 日,果实成熟期9 月18 日,落叶期11 月7 日。由表4 可知,燕栗3 号在9 月中下旬成熟,成熟期比京暑红晚24 d,较燕山短枝晚2 d。

表4 燕栗3 号与对照品种物候期的比较
Table 4 Comparison of phenological period between Yanli 3 and control cultivars

品种Cultivar燕栗3号Yanli 3燕山短枝Yanshanduanzhi京暑红Jingshuhong萌芽期Germination date 4月15日Apr.15 4月14日Apr.14 4月12日Apr.12展叶期Leaf opening date 4月26日Apr.26 4月28日Apr.28 4月29日Apr.29雄花盛花期Blooming date 6月14日Jun.14 6月12日Jun.12 6月13日Jun.13新梢停长期New tip stop-growing date 6月9日Jun.9 6月7日Jun.7 6月8日Jun.8果实成熟期Ripening date 9月18日Sept.18 9月16日Sept.16 8月25日Aug.25落叶期Deciduous date 11月7日Nov.7 11月9日Nov.9 11月6日Nov.6

2.6 适应性及抗逆性

燕栗3号适应性强,耐瘠薄,在河滩、丘陵、贫瘠山地均能栽植。参照《板栗种质资源描述规范和数据标准》,采用叶片失绿指数法比较燕栗3 号与对照品种对栗红蜘蛛的抗性[12]。由表5可知,燕栗3 号对红蜘蛛的抗性强于对照品种。在区试点连续多年的调查发现,燕栗3号在土壤贫瘠的平原沙地、片麻岩陡坡山地均能正常生长结果,不会出现早衰和大小年现象,并且连年丰产稳产。

表5 燕栗3 号与对照品种对红蜘蛛抗性的比较
Table 5 Comparison of resitance to red mites between Yanli 3 and control cultivars

品种Cultivar燕栗3号Yanli 3燕山短枝Yanshanduanzhi京暑红Jingshuhong失绿指数Chlorosis index/%11.35 23.29 33.78抗性等级Resistance level高抗High resistance抗Resistance中抗Moderate resistance

3 栽培技术要点

该品种适宜在中国北方的片麻岩山地及河滩沙地栽植,适宜栽植株行距为4 m×4 m;树形以自然开心形最佳,授粉品种可选用燕明和燕光[13-14];幼树嫁接第2年采用拉枝、刻芽技术能达到早果丰产的效果;成龄大树采用轮替更新修剪技术,结果母枝留枝量为树冠投影8~10 条·m-2;春季萌芽前施入氮磷钾复合肥,栗果采收后施入有机肥。综合应用物理、化学、生物等方法防治板栗红蜘蛛和桃蛀螟等主要病虫害。

4 综合评价

燕栗3 号为丰产优质板栗新品种,栗果外观靓丽,色泽油亮,果肉细糯香甜,炒食加工均可,植株丰产稳产,适应性、抗逆性强,发展前景广阔。可在河北省北方板栗产区及与此生态类型相似的地区种植。

参考文献References:

[1] 季志平,何佳林,吕平会.丰产稳产板栗新品种泰山1 号的选育[J].果树学报,2022,39(12):2442-2445.JI Zhiping,HE Jialin,LÜ Pinghui. Breeding report of a new chestnut cultivar Taishan 1 with high and stable yield[J].Journal of Fruit Science,2022,39(12):2442-2445.

[2] 刘阳,刘建玲,刘海涛,房克凤,曹庆芹,张卿,秦岭,邢宇.板栗新品种‘靓栗1 号’[J].园艺学报,2023,50(增刊2):27-28.LIU Yang,LIU Jianling,LIU Haitao,FANG Kefeng,CAO Qingqin,ZHANG Qing,QIN Ling,XING Yu.A new Chinese chestnut cultivar‘Liangli 1’[J].Acta Horticulturae Sinica,2023,50(Suppl.2):27-28.

[3] 曹均. 全国板栗产业调查报告[M]. 北京:中国林业出版社,2013.CAO Jun. National chestnut industry surver report[M]. Beijing:China Forestry Press,2013.

[4] 张树航,王浩,李颖,刘雨婷,郭燕,张馨方,王广鹏.板栗早熟新品种白露香的选育[J].果树学报,2023,40(9):2010-2015.ZHANG Shuhang,WANG Hao,LI Ying,LIU Yuting,GUO Yan,ZHANG Xinfang,WANG Guangpeng.A new early-maturing chestnut cultivar Bailuxiang[J]. Journal of Fruit Science,2023,40(9):2010-2015.

[5] 张宇和,柳鎏,梁维坚,张育明.中国果树志-板栗榛子卷[M].北京:中国林业出版社,2005.ZHANG Yuhe,LIU Liu,LIANG Weijian,ZHANG Yuming.Chinese fruit tree chronicles (chestnut and hazelnut)[M]. Beijing:China Forestry Publishing House,2005.

[6] 刘庆香,孔德军,王广鹏. 板栗新品种‘燕晶’[J]. 园艺学报,2010,37(10):1705-1706.LIU Qingxiang,KONG Dejun,WANG Guangpeng. A new chestnut cultivar‘Yanjing’[J].Acta Horticulturae Sinica,2010,37(10):1705-1706.

[7] 秦岭,张卿,曹庆芹,房克凤,邢宇,冯永庆.板栗早熟新品种‘京暑红’[J].园艺学报,2013,40(5):999-1001.QIN Ling,ZHANG Qing,CAO Qingqin,FANG Kefeng,XING Yu,FENG Yongqing.A new early-maturing cultivar of Chinese chestnut‘Jingshuhong’[J]. Acta Horticulturae Sinica,2013,40(5):999-1001.

[8] 郭燕,张树航,李颖,张馨方,王广鹏.早实高产板栗新品种‘冀栗1 号’的选育[J].果树学报,2017,34(8):1065-1068.GUO Yan,ZHANG Shuhang,LI Ying,ZHANG Xinfang,WANG Guangpeng.‘Jili 1’,a new chestnut variety with early precocity and high yield[J]. Journal of Fruit Science,2017,34(8):1065-1068.

[9] 张树航,李颖,郭燕,张馨方,范丽颖,刘金雨,王广鹏,熊永斌.板栗新品种‘燕栗4 号’[J].园艺学报,2024,51(7):1707-1708.ZHANG Shuhang,LI Ying,GUO Yan,ZHANG Xinfang,FAN Liying,LIU Jinyu,WANG Guangpeng,XIONG Yongbin. A new cultivar of Chinese chestnut‘Yanli 4’[J]. Acta Horticulturae Sinica,2024,51(7):1707-1708.

[10] 刘阳,刘建玲,刘海涛,赵永廉,王金宝,曹庆芹,张卿,秦岭,邢宇.板栗雄花序败育新品种‘怀奇’[J].园艺学报,2023,50(增刊1):31-32.LIU Yang,LIU Jianling,LIU Haitao,ZHAO Yonglian,WANG Jinbao,CAO Qingqin,ZHANG Qing,QIN Ling,XING Yu. A new cultivar with staminate catkin abortion of Chinese chestnut‘Huaiqi’[J]. Acta Horticulturae Sinica,2023,50(Suppl. 1):31-32.

[11] 秦岭,杨东生,高天放,周自军,王铁明,冯永庆,田瑞冬.板栗新品种‘短花云丰’[J].林业科学,2011,47(4):194.QIN Ling,YANG Dongsheng,GAO Tianfang,ZHOU Zijun,WANG Tieming,FENG Yongqing,TIAN Ruidong.A new variety of Chinese chestnut‘Duanhuayunfeng’[J]. Scientia Silvae Sinicae,2011,47(4):194.

[12] 刘庆忠.板栗种质资源描述规范和数据标准[M].北京:中国农业出版社,2006.LIU Qingzhong.Descriptors and data standard for chestnut(Castanea mollissima Blume)[M]. Beijing:China Agriculture Press,2006.

[13] 刘庆香,王广鹏,孔德军. 板栗新品种‘燕明’[J]. 园艺学报,2003,30(5):634.LIU Qingxiang,WANG Guangpeng,KONG Dejun.A new chestnut variety‘Yanming’[J]. Acta Horticulturae Sinica,2003,30(5):634.

[14] 王广鹏,刘庆香,孔德军. 适宜密植型板栗新品种燕光的选育[J].果树学报,2011,28(3):544-545.WANG Guangpeng,LIU Qingxiang,KONG Dejun.A new cultivar of Chinese chestnut:Yanguang[J]. Journal of Fruit Science,2011,28(3):544-545.

A new Chinese chestnut cultivar Yanli 3

ZHANG Xinfang,FAN Liying,ZHANG Shuhang,LI Ying,GUO Yan,LIU Jinyu,WANG Guangpeng*
(Changli Institute of Pomology,Hebei Academy of Agricultural and Forestry Sciences,Changli 066600,Hebei,China)

Abstract:Yanli 3 is a new high-yield chestnut cultivar selected from the natural seedling chestnut trees in Jiangjunmu town, Xindu district of Xingtai city (former Xingtai county). It was selected by Changli Institute of Pomology, Hebei Academy of Agriculture and Forestry Sciences.We found the superior individual plant during the investigation of chestnut resources in 2001.The mother tree was 60 years old and had the characteristics of high quality,high yield and good resistance to red mites.The scions from the mother tree were collected and introduced into the variety breeding nursery of our institute for systematic evaluation on the main agronomic traits in 2004.After regional adaptability testing at three sites of Hebei Province (including Kuancheng county, Xinglong county and Qianxi county) from 2008 to 2022, it was finally selected and has obtained the certificate of new plant cultivar by National Forestry and Grassland Administration in 2023. The tree is high and the shape is open, mostly in a center-open state. The branch color is greyish-brown, and the size and density of lenticel is intermediate. The leaf color is deep green and leaf shape is ellipse with lobate serration, and gradually acute apex.The length of catkin is about 20.62 cm,and the numbers of catkin on each biennial bearing branch is 13.4.The bur shape is ellipse and cruciform-cracked.The spine bundle length is 1.7 cm, with intermediate angle and large density. Each bur contains about 2.72 nuts. The nut color is reddish-brown, with excellent luster.The side nut shape is ellipse and the apex of nut is flat. The pubescence distribution of nut is around apex, and the density of pubescence is low. The stripes of nut are not obvious, and the hilum size is small.The kernel is faint yellow, and pellicle removal is easy.The nuts are suitable for frying and processing,and cooked nuts taste sweet,fragrant,and glutinous.The nut average weight is 10.86 g and the rate of nut eatability is 35.45%. The water content is 46.7%, and the soluble sugar, starch and protein content are 20.3%, 47.8%, and 4.94%, respectively.The new cultivar Yanli 3 has high and stable yield with a vigorous nut-bearing ability.It can bear nuts in the 2nd year,and then enter the high yield period in the 3rd or 4th year after grafting.The average production capacity is about 4030 kg·hm-2.The germination rate of biennial bearing branch buds is 73.8%. The biennial bearing branches account for about 47.1%, and the developing branches account for 21.5%. 1-year-old branches are strong and stout, with an average length of 32.68 cm,a diameter of 0.81 cm,and an internode length of 1.36 cm.The average number of bearing shoots on each biennial bearing branch is 3.48,and each biennial bearing branch has an average of 2.62 burs.Yanli 3 has good adaptability and is resistant to barren soil,which is suitable for planting in beaches,hills and mountains,such as the chestnut cultivation area of Hebei Province and similar areas.According to“Descriptors and Data Standard for Chestnut”, the resistance of Yanli 3 to red mites is stronger than that of the control variety Yanshanduanzhi.The planting space between plants and rows are 4 m×4 m when the orchard is built. The tree shape of Yanli 3 is suitable for training natural open center system or two-layer small canopy sparse shape.Young trees can achieve early fruiting and high yield by pulling down branches and carving buds,because the new branches grow vigorously.The rotational and renewal pruning technology can be used in mature trees to achieve stable yield every year.

Key words:Chestnut;New cultivar;Yanli 3

中图分类号:S664.2

文献标志码:A

文章编号:1009-9980(2025)08-1925-05

DOI:10.13925/j.cnki.gsxb.20240668

收稿日期:2024-12-20

接受日期:2025-03-10

基金项目:现代种业科技创新专项(21326304D-3);河北省农林科学院科技创新专项(2022KJCXZK-RW-5);河北省现代农业产业技术体系(HBCT2024190204);国家重点研发计划(2022YFD1600401)

作者简介:张馨方,女,副研究员,主要从事板栗新品种选育及栽培生理研究。E-mail:971470601@qq.com

*通信作者Author for correspondence. E-mail:wangguangpeng430@163.com